Before and After Gallery

Patients' Stories

Seeing is believing in today’s world, and before you decide to visit Dr. Shah, you deserve to see his work so you can judge it for yourself. Below are untouched before and after photos of a few patients he has helped over the years, and no matter what your situation might be, he’s ready to offer you the same care and attention he gave them. To learn more about some of the procedures highlighted on this page or schedule a consultation with Dr. Shah, click here.

Implant
Supported Dentures

Implant Supported Dentures

This patient underwent oral cancer surgery, which led to significant bone loss, limited mouth opening, and the loss of all her upper teeth. In her case, a traditional denture was not a suitable option. Instead, we placed dental implants and created an implant-supported denture to restore both function and comfort.

Implant
Supported Dentures

Implant Supported Dentures

Patient had old, worn out, and damaged dentures which didn't look or fit well. We placed some implants and made her implant supported dentures. Now they fit and look great. In addition they function much better allowing her to eat, speak and smile more.

Dentures

Implant, Crowns and Veneer montage

This patient came to us with dentures that didn’t fit her needs—the teeth were too small, the gum color was too light, and the midline was off. We designed a new set of dentures with properly sized teeth and more natural-looking gums, creating a balanced, more confident smile.

Implant, Crown and Veneers

Implant, Crowns and Veneer montage

This young girl experienced trauma to her front teeth, and unfortunately, one tooth couldn’t be saved. We replaced it with a dental implant, and enhanced her smile further with one crown and two veneers. The result—a confident, natural-looking smile she can be proud of!

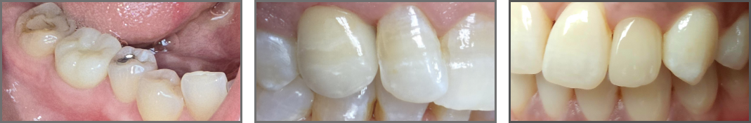
Single Tooth Implant

Implant, Crowns and Veneer montage

Tooth replacement isn't just about function—it’s about achieving a natural look that blends seamlessly with the rest of the smile. In this case, a single dental implant was used to restore what was lost, carefully crafted to match the surrounding teeth in both shape and shade.

Implant, Crowns and Veneers

Implant, Crowns and Veneer montage

After losing one of her front teeth and needing additional dental work, a young patient came to us for help. With a customized treatment plan that included a dental implant, two crowns, and a veneer, we were able to restore her smile beautifully and boost her confidence.

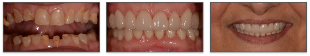
Full Mouth Rehabilitation - Crowns and Veneers

Full Mouth Rehabilitation montage

All of the patient's teeth were worn down, so not only did they need help, but his bite was in trouble as well. A full mouth rehabilitation was able to restore his damaged teeth, improve his overall aesthetics, and ensure that his bite was perfectly aligned and functional.

Full Mouth Rehabilitation

Full Mouth Rehabilitation montage

Over the years, this patient had experienced multiple problems due to worn down and broken teeth, and they were repaired individually, leading to a patchwork result that he didn’t like. He underwent a full mouth rehabilitation, which not only helped his smile look better, but function and feel like new as well.

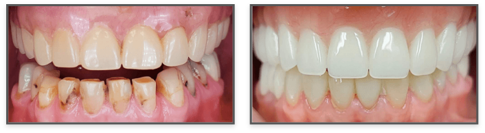
Crowns

Veneers

This patient was very unhappy with the shape, color, and texture of her teeth, and she was dealing with quite a bit of decay as well. So, Dr. Shah designed and placed crowns to restore her upper front eight teeth, and as you can see in the after photo, the patient feels much better about smiling now!

Veneers

Implants, Crowns and Veneers

An unfortunate fall on some ice saw this patient fracture her two front teeth. She was able to have them repaired right afterward, but for a more permanent and better-looking solution, she ended up getting eight veneers from Dr. Shah. This is a perfect example of how veneers are multi-purpose—they can help support injured teeth as well as make them more attractive.

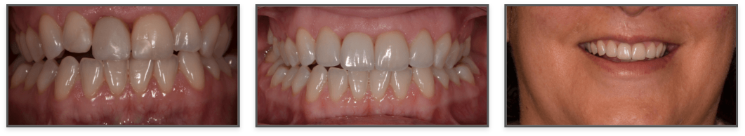
Veneers

Veneers

Patient's front four teeth were showing obvious signs of wear and tear, and she didn’t like that this was obvious every time she smiled. The veneers she received not only restored the shape and texture of her enamel to give it a better look, but they also reinforced her teeth to make them structurally stronger.

Veneers

Veneers

This patient took a medication called tetracycline, which can cause the enamel to stain and develop a grayish hue. These kinds of stains can’t be removed even with professional strength whitening, so she ended up getting veneers on her upper and lower teeth. This instantly made them whiter, plus they are now stain-resistant!

Veneers

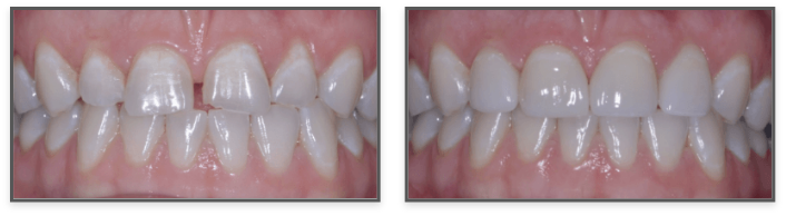
Dentures and Veneers

Patient had chipped front teeth and had space
between front teeth.
She wanted to improve appearance.
We made 4 veneers.

Implants, Crowns and Veneers

Crowns

This patient experienced some bad luck and had an accident in which her front four teeth were damaged, and she ended up losing one of them. Thankfully, Dr. Shah was able to fill in the gap with a dental implant and custom crown, and he enhanced the nearby teeth with two veneers to give her a cohesive and attractive result.!

Dentures

Dentures

This patient had a bright smile that was only hampered by her bridge, which consistently fell out of place. The new denture she received not only gave her better function and aesthetics, but more stability as well so she can always feel secure.

Dentures and Veneers

Implant Denture

Patient was not happy with the look of her
upper denture and lower teeth. We made her
an upper denture and some veneers and
crowns for her lower teeth.

Implant
Denture

Implant Denture

This patient was not only missing multiple teeth, but he also had difficulty fully opening his mouth. Thankfully, Dr. Shah was able to work around this and give him two implants that supported a denture. No matter your situation, there is always a path forward when you partner with Dr. Shah!

Digital Dentures

Implant Denture

Patient presented with only a few bad teeth left in his mouth. We scanned, designed and 3D printed his dentures. Just one visit for all of these and he got his teeth extracted and a set of dentures next visit.

Full Mouth Rehabilitation

Full Mouth Rehabilitation

Patient had multiple decayed teeth and most of them were not touching each other. The challenge was to create a new bite to restore his function. We saved most of his teeth, gave him a new smile and function.

Full Mouth Rehabilitation

Full Mouth Rehabilitation

She had all her teeth badly worn down. She was not happy with looks and function. We created a beautiful smile and function for her by doing full mouth rehabilitation with crown and bridges.

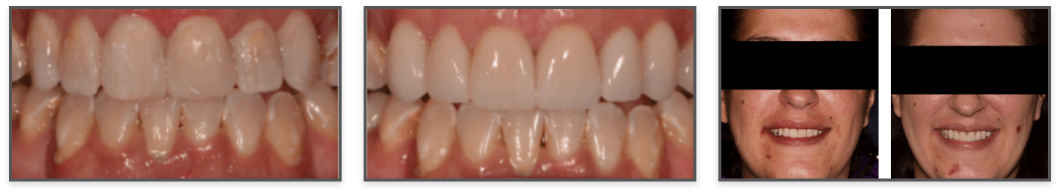
Crowns - Veneers

Crowns - Veneers

Patient's front teeth were worn down and he was not happy that his front teeth were not visible when he smiles. We created a beautiful smile by doing some crowns and veneers.

Poorly Placed Implant

Poorly Placed Implant

This patient had an implant that was placed too far up and out. She was referred to us to help her. As one implant already failed at this location before, she was not willing to get this one removed and get a new implant. We did a couple of gum surgeries and created a beautiful smile.

Remake of Full Mouth Implants

Remake of Full Mouth Implants

Patient had a full mouth rehabilitation done on all implants and she was not happy with esthetics, color, midline and bite. We remade her prosthesis to provide natural smile and a perfect bite.

All-on-6

All-on-6

Patient presented with hopeless upper teeth. We placed six implants and placed a prosthesis to restore her esthetics and function.

All-on-6

All-on-6 All-on-6

Another case of all-on-6 zirconia prosthesis for upper jaw where the patient specifically requested not to have bright teeth and wanted to match with his lower teeth. We provided him very natural looking teeth with dark shade.