Dental Crowns Edison
We Expertly Repair Your Damaged Teeth

Smaller cavities and minor dental injuries can often be repaired with a filling. But what about more severe kinds of damage? In these cases, you’ll most likely need a dental crown to restore your tooth and keep your smile intact. Dr. Shah takes advantage of the latest technology to create long-lasting crowns that are personalized for each patient. Call Edison Prosthodontics today if you have a tooth that might need a crown soon.
Why Choose Edison Prosthodontics for Dental Crowns?
- Prosthodontist with Over 20 Years of Experience
- Highly Accurate, Putty-Free Digital Impressions
- Lifelike Porcelain and Ceramic Restorations
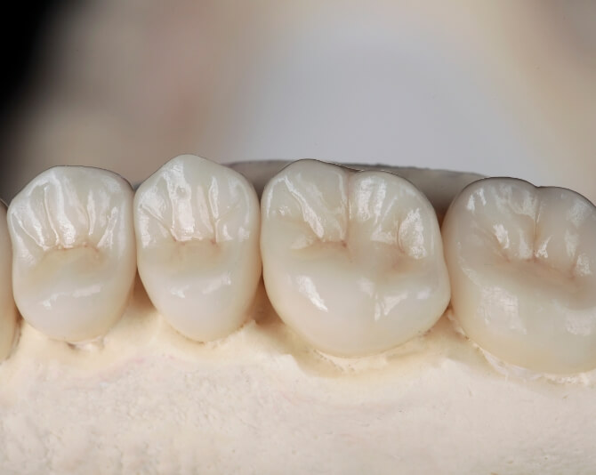
What is a Dental Crown?

A dental crown is a cap that’s made to completely cover a natural tooth. This protects the tooth from further damage while also restoring its overall shape and size. You might need a dental crown if:
- You have a cavity that’s too large for a filling to fix.
- Your tooth has been badly cracked or fractured.
- You have a tooth that’s unusually worn down due to bruxism, overly harsh brushing, or exposure to acidic foods and beverages.
- You have just completed root canal treatment.
- Your tooth has been significantly weakened and needs a restoration to hold it together.
The Dental Crown Process

First, our team will examine your mouth and evaluate the tooth in question. We’ll narrow down what type of restoration is best for you based on your situation. If we decide that you need a dental crown, we’ll prepare the tooth by removing a small amount of enamel. Then we’ll use 3D digital imaging to create a virtual impression of your smile, which we’ll use to design your crown.
Our practice uses porcelain and ceramic to craft dental crowns. These materials can be shaded to match your natural enamel, allowing them to blend in seamlessly with the rest of your smile. Thanks to modern technology, we can create a porcelain or ceramic dental crown in just one day.
Once your crown is ready, we’ll place it on your tooth. We might have to make some last-minute adjustments to make sure that it fits properly in your mouth. After your crown has been cemented in place, you’ll be able to use it to bite and chew right away.
The Benefits of Getting a Dental Crown

There are many reasons why you should get a dental crown for a damaged tooth:
- The crown will protect the tooth from further harm and prevent any existing issues from growing worse.
- The crown will allow you to chew comfortably again without putting the tooth at risk.
- Dental crowns are highly versatile compared to other restorations and can be used in all kinds of situations.
- A dental crown made out of a tooth-colored material such as porcelain will blend in with your smile so well, most people won’t even be able to tell that it’s there.
- Dental crowns are highly durable and can last over 15 years as long as they receive basic maintenance like brushing and flossing.
Understanding the Cost of Dental Crowns

When you get a dental crown, you may be concerned about the price. Until Dr. Shah can examine you and put together a personalized treatment plan, an estimate is hard to pin down. However, once you get that plan with more specific information, we’ll be happy to discuss the cost with you, how your insurance can help, and your financing options if you are interested in that information. If you have questions about the cost, we can go through the nitty-gritty details with you as well.
Factors That Affect the Cost of Dental Crowns

We consider multiple factors for the cost of your dental crown. First, the more extensive the damage to your tooth, the higher the cost of the crowns will likely be, especially if you need preliminary treatment like a root canal. Also, the material we choose for your crown—either porcelain or ceramic—will affect the cost. If you want a full breakdown of the pricing, we can discuss the factors that contribute to the total.
Does Dental Insurance Cover Dental Crowns?

Although there may be some variations in the exact coverage, most dental insurance policies do pay part of the cost of dental crowns. In fact, most of the time, it’s around 50 percent of the total. When you make your appointment with us, we will take down your insurance information and verify your coverage. That way, if you require a crown, we will know how much you will be responsible for paying out of pocket.
Options for Making Dental Crowns Affordable

At Edison Prosthodontics, we realize that some patients may not be able to, or may not want to, pay the entire cost of treatment at the time of service. That’s perfectly fine. We work with CareCredit, one of the country’s most used financing companies in the medical and dental fields, and it can allow you to make monthly payments toward the total. Many patients find this flexibility much easier to manage in their budget. We can help you with the application process or answer certain questions you may have.
Dental Crowns FAQs
How Long Do Dental Crowns Last?
Dental crowns normally last between 5 to 15 years. While the material used to make the crown can make a small difference, your lifestyle is one of the biggest factors in determining how long your restoration lasts. Your diet, oral hygiene, and oral habits (such as whether you bite your nails) can all affect the lifespan of your dental crown. We’ll give you advice for maintaining and protecting your crown to help it last as long as possible.
It's worth noting that crowns on the front teeth aren’t exposed to as much wear and tear as crowns on the molars. As such, you can often expect crowns near the front of your mouth to last slightly longer.
Do Dental Crowns Get Cavities?
The actual crown cannot get cavities since it isn’t made of enamel. It should be noted, though, that the tooth underneath the crown still has about the same risk of decay as the rest of your smile. If you don’t practice good oral hygiene, bacteria can travel underneath the crown to attack the tooth, resulting in cavities.
To keep a crowned tooth safe, you simply need to give it the same care as your other teeth. This means brushing two times a day, flossing daily, and scheduling dental checkups every six months.
Does It Hurt to Get a Dental Crown?
To prepare a tooth for a dental crown, some enamel has to be removed. Your mouth will be numbed for this procedure, and we may suggest sedation if you’re anxious about having dental work done. We might also numb your mouth when placing the crown, but this isn’t always necessary.
After the preparation step (and sometimes the placement step), your tooth may be somewhat sensitive. Usually, it should be mild enough that you can control it with over-the-counter medications. Please call our office if your discomfort grows worse over time.
Are Dental Crowns Covered by Insurance?
Most of the time, insurance will pay for dental crowns as long as there’s a medical reason for placing them, such as repairing a decayed tooth. Under many insurance plans, dental crowns are considered a major procedure, meaning coverage is usually around 50% after paying your deductible and before meeting your annual maximum. No two dental plans are alike, though, so make sure that you confirm your benefits with your insurance carrier first before you commit to having a crown placed.
What Are Dental Crowns Made Of?
In the past, dental crowns, fillings, and other restorations were made from mixtures of metal like gold, silver, tin, and copper, with mercury as a binding component. Although these amalgam restorations are incredibly durable, they often cause sensitivity or allergies. Plus, metal expands and contracts with temperature changes, which can eventually damage the structure of your teeth.
Thanks to more recent advancements in dental materials and technology, today, Dr. Shah provides tooth-colored dental crowns made from resilient ceramic. It reflects light like enamel and can be customized to match your natural grin for seamless results. Plus, you’re less likely to have an adverse reaction to this biocompatible material.
Are Dental Crowns Permanent?
These tooth-shaped caps can be incredibly long-lasting, but they often require repairs or replacement, so they’re technically not permanent. However, they’re not intended to be removable, like dentures. Once they’re cemented over your tooth or implant, they’re intended to remain.
It’s worth noting that in many cases, Dr. Shah must reshape the underlying tooth for your prosthetic to fit properly. Enamel doesn’t regenerate, so these changes to the structure of your tooth are irreversible. Thankfully, your crown can protect it for years to come if you brush and floss twice daily and visit Dr. Shah every six months for checkups.
How Do I Know When It’s Time to Replace My Dental Crown?
The only way to know for certain whether you require a new dental crown is to visit Dr. Shah in Edison. He’ll examine your mouth and take X-rays or other images to determine its condition.
The following symptoms can let you know your restoration is nearing the end of its lifespan:
- Aches or swelling around your dental crown could point to cavities or gum disease in the underlying tooth, which requires professional assessment and treatment.
- If your prosthetic feels loose or wobbly in place, you should contact Dr. Shah immediately because it’s at risk of becoming damaged or dislodged.
- Visibly worn. If it has sustained chips or cracks, become stained, or looks noticeably worn down, it’s worth investing in a replacement to improve your appearance and boost your confidence.
Can Dental Crowns Be Whitened?
Your tooth-shaped cap is made from ceramic that’s less porous than your enamel, and therefore more resistant to stains. However, repeated or prolonged exposure to darkly pigmented foods like coffee, tea, wine, berries, or tomatoes, can eventually take a toll.
If your dental crown is stained, you might feel tempted to try teeth whiteners to lighten it, but you’re not likely to see any changes. Topical bleaches don’t impact the material the same way, so avoiding discoloration is the best way to preserve your new tooth. Minimizing your consumption of common culprits known to cause stains is a simple and effective way to keep it bright and clean.