Invisalign Clear Aligners – Edison, NJ
A Clear Way to a Straighter Smile

If the journey to a straight smile means wearing gaudy metal braces, you might be hesitant to move forward with orthodontic treatment. Fortunately, we offer our patients in Edison an alternative: Invisalign! This option will straighten your teeth without “metal mouth,” and the average treatment timeline is shorter (two of the many benefits of this teeth-straightening service). We at Edison Prosthodontics are happy to share the details with you, so don’t hesitate to read on to learn more or book a visit with Dr. Vrajesh Shah!
Why Choose Edison Prosthodontics for Invisalign Clear Aligners?
- Custom-Tailored Treatment Plan
- Great for Teens & Adults Alike
- 3Shape Trios 5 Digital Impression System
How Invisalign Works

In the end, Invisalign is much less involved than metal braces. It consists of clear, plastic trays worn in a series. These “aligners” act upon your teeth with micro-movements, slowly shifting the pearly whites into place. You would wear each set for 20-22 hours daily over a few weeks (anything less will lead to treatment delays). In doing so, you’d get ideal results in only 12-18 months. That’s a fairly short time to reach a straight and balanced smile!
Who Can Invisalign Help?
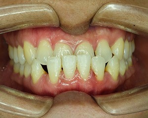
Living with dental alignment issues can be quite difficult. An improper bite can lead to complications such as dental injuries, oral infections, chronic pain, and TMJ issues that significantly detract from the joy of life. The good news is that Invisalign treatments at our Edison office can rearrange your teeth into more optimal positions, creating a healthier and more beautiful smile that is easier to care for. Here’s a brief overview of a few of the alignment issues Invisalign clear aligners can address.
Crowded Teeth
If your teeth are crammed into too small a space in your gums, they can be more vulnerable to issues like tooth decay, gum disease, difficulty eating, and chronic pain. This is because crowded teeth overlap one another, making it hard to reach between them to clean away bacteria, food residue, plaque, and tartar. Unfortunately, many people find that their dental crowding gets worse with age. Invisalign clear aligners can gradually shift teeth so that they sit flush next to one another, making it easier to brush, floss, and eat efficiently and comfortably. A well-aligned smile can also significantly bolster a patient’s confidence.
Gaps Between Teeth
Many people have gaps between their teeth for reasons like natural bone development, small teeth, and large jawbones. In some cases, these spaces can result from thumb-sucking or tongue-thrusting habits in childhood. Using orthodontic treatments such as Invisalign to close these gaps can reduce the risk of bacterial accumulation, tooth decay, gum disease, and other issues. However, these gaps can sometimes also be addressed with cosmetic bonding.
Overbite
An overbite is an alignment issue characterized by the top teeth jutting out too far over the lower teeth, and it can lead to jaw pain, speech difficulties, uneven tooth wear, and difficulty opening and closing the mouth. This problem can also put the teeth in an exposed and vulnerable position, putting them at a greater risk of injury.
Underbite
An underbite happens when the bottom teeth protrude past the top teeth or meet them evenly when you close your mouth, and it usually results from genetics, oral trauma, tumors, or childhood habits such as thumb-sucking or extended pacifier use. An untreated underbite can cause issues such as a greater likelihood of sleep apnea, mouth breathing, and problems with chewing and speaking. Treating an underbite with Invisalign usually requires the use of rubber bands and other appliances in addition to clear aligners to gradually rearrange the teeth into a better position. While it’s easier to treat an underbite in a younger patient, it is still important for adults to address it.
Crossbite
Crossbites involve the bottom teeth being positioned slightly in front of the upper teeth and can be caused by genetics, poor oral habits, or the baby teeth being lost prematurely. While Invisalign clear aligners can usually address this issue, it may be necessary to accompany the treatment with elastics and other accessories to reposition the jaw. An unaddressed crossbite can lead to long-term consequences such as a greater likelihood of oral infections, jaw pain, difficulty speaking, headaches, teeth grinding, and facial asymmetry as well as diminished self-confidence.
Open Bite
Open bites happen when the top and bottom teeth do not overlap or touch when the mouth is closed and can result from poor bone development or extended thumb or pacifier-sucking as a child. This issue can make it difficult to pronounce certain words and can lead to excessive wear on the back teeth, making them more likely to be damaged. Invisalign can help the top and bottom teeth meet properly, creating a more beautiful smile that is less likely to be injured.
The Benefits of Invisalign

Compared to metal braces, Invisalign has many great benefits. The most common upsides include:
- Discreet Treatment – Instead of brackets and wires, your Invisalign trays will use clear plastic. They won’t draw any unwanted attention to your grin.
- High Convenience – Invisalign won’t draw any unwanted attention to your smile, there are fewer check-in visits, and the aligners are comfortable!
- Better Oral Hygiene – Invisalign trays let you brush and floss normally. In other words, they’ll allow you to maintain better oral hygiene than metal braces would.
- No Dietary Restrictions – Since Invisalign aligners are removable, you don’t have to worry about breaking a bracket or wire. So, you can enjoy a well-balanced, varied diet!
Understanding the Cost of Invisalign

Unfortunately, we can’t provide you with an estimate of the cost of your Invisalign treatment without conducting a comprehensive oral exam. That’s because there are several factors that impact the final number, including the complexity of your case. So, if you are interested in finding out the price of clear aligners for you, the best thing to do is schedule a consultation with us! If you want to learn some generic information on the topic of price, including if dental insurance will cover a portion of it, read on.
Factors That Affect the Cost of Invisalign
As we mentioned above, the cost of Invisalign varies because no two smiles are the same. While one patient may be dealing with minor spacing issues, the next might have some moderate crowding. Not only that, but one patient may need preliminary care, like gum disease treatment, while the next may have healthy teeth and gums already. Simply put, there are multiple factors that need to be considered – from the number of aligners needed to if any orthodontic accessories need to be added. The good news is that we can review all of this information and more with you at your consultation. That way, you have a full understanding of the cost and how to make it fit into your budget.
Invisalign vs. Mail-In Aligners: Which Costs More?
If you’ve seen mail-order aligners on social media or TV, then you know that their marketing centers largely around how inexpensive they are. What they don’t mention, however, is that they skip the initial consultation, the treatment plans are created with DIY impressions, and there usually isn’t a licensed dental professional overseeing the entire process. As you can imagine, this leads to a lot of issues – from worsened misalignment to loose teeth. That’s why, even if it requires a higher upfront investment, it’s worth choosing Invisalign.
Does Dental Insurance Cover Invisalign?
You might be surprised to hear that some dental insurance plans include a once-in-a-lifetime orthodontic benefit. So, if you are insured, you should definitely read through the fine print on your plan. If you’re having trouble understanding your coverage, or you simply want help utilizing your available benefits, don’t hesitate to let us know! We’re proud to welcome many popular providers, including Ameritas and BlueCross BlueShield.
Options for Making Invisalign Affordable
Don’t let not having dental insurance stop you from scheduling a consultation with us; we also welcome CareCredit! This trusted third-party financier has helped millions of patients get the care they need or want without breaking the bank. That’s because they offer payment plans (many of which have little-to-no interest attached). So, if you can’t pay for the entire cost of Invisalign at once, that’s okay – you don’t have to. Instead, you can space out the payments into smaller, more manageable chunks that work for you.
Invisalign FAQs
Does Invisalign Hurt?
Many patients want to straighten their smiles, but they don’t want to be in pain! At Edison Prosthodontics, we get that, and we want to assure you that Invisalign is designed with comfort in mind. However, while you won’t feel irritation or discomfort due to brackets and wires like with traditional metal braces, orthodontic treatment can be uncomfortable at times.
When you first begin your treatment, you may feel slight pressure or sensitivity as your teeth begin to adjust. However, this normally fades within a few days. The discomfort will generally return when you begin each new set of aligners. If it becomes distracting, it can usually be mitigated by generic pain medications like ibuprofen and acetaminophen. If discomfort persists, contact us for adjustments or advice.
How Long Does Invisalign Take?
The duration of Invisalign treatment varies based on the complexity of your case and your adherence to your treatment. On average, most patients finish within 12 to 18 months, but it can be as few as 6 months if your adjustments are relatively minor. At Edison Prosthodontics, we will always give you a transparent treatment plan that includes an estimated timeline.
We use an advanced digital impression system that gives us accurate results for the most comfortable and effective aligners. With consistent wear and regular check-ins, you’ll achieve your dream smile sooner rather than later.
What if My Invisalign Broke?
If your Invisalign aligner breaks, don’t panic! Just store it somewhere safe and contact our team immediately for guidance. Depending on the situation, we may recommend switching to your next set of aligners or wearing your previous set to pause your progress while we work on a solution.
Until then, avoid using broken aligners or attempting to fix them yourself, as this often causes more harm to your smile. It can also delay your treatment and potentially make you sick, depending on your “DIY” method. Our team will work with you to quickly replace the broken tray and keep your treatment on track!
Is Invisalign Cheaper than Braces?
Invisalign and braces typically cost about the same, with the high-end sitting around $5,000. However, prices can vary depending on the severity or complexity of your alignment issues. Invisalign can be slightly more expensive because many insurance plans won’t cover the treatment. Regardless, we haven’t had a patient who has gone all-in on their clear aligners and regretted it!
The price reflects the many benefits that Invisalign offers over traditional braces like their convenience, discretion, and comfort. At our Edison office, we’ll always offer you the facts about your treatment up front, giving you a clear look at your investment before you make it!